Leaky Gut –
„děravé střevo"

Syndrom zvýšené propustnosti střev je opakovaně spojován s dalšími onemocněními, například s autoimunitními chorobami. Vědci již dlouho zkoumají, jakou roli hraje zvýšená propustnost střev při vzniku nemocí a jak ovlivňuje náš mikrobiom.

Obsah

Co je syndrom zvýšené propustnosti střev? (= Leaky gut)?

Termín „syndrom zvýšené propustnosti střev“ označuje zvýšenou propustnost střevní stěny, která představuje nepostradatelnou bariérou mezi hostitelským organismem a vnějším světem. V důsledku toho se mění sliznice na povrchu střeva a mnoho bakterií jednoduše odumře. Tímto pak vznikají zvláštní stresové a zánětlivé látky, které ničí spodní vrstvu střevních buněk.

Všechny toxické látky, které se do těla dostávají s potravou, již nejsou vylučovány pouze se stolicí, nýbrž mohou nerušeně pronikat do krevního a nervového oběhu a vést tak k nežádoucím změnám v organismu a onemocněním. Kromě vyváženého mikrobiálního osídlení střeva a dostatečné tvorby hlenu sliznice a proteinů imunitního systému je neporušená střevní sliznice nezbytná pro obranu proti patogenům a pro zabránění průchodu nežádoucích látek střevní stěnou.

leaky gut syndrom
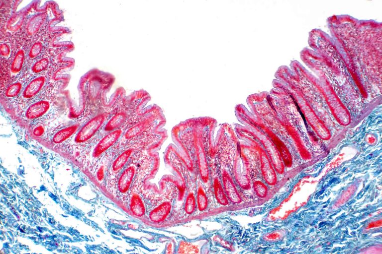
strevni bariera hystologie

Ochranná funkce střevní bariéry

Vzhledem ke svému rozsáhlému povrchu má střevo mnoho citlivých oblastí, kde mohou patogenní mikroorganismy zaútočit. Jako ochrana a obrana organismu slouží tzv. střevní bariéra, která je tvořena zdravou střevní mikroflórou tlustého střeva, střevní sliznicí a imunitním systém nacházejícím se ve střevě.

Úkolem střevní flóry je vytlačit pryč škodlivé zárodky. Některé bakterie jsou schopny produkovat látky, které zabraňují množení cizorodých bakterií. Naše střevní bakterie jsou také zodpovědné za regulaci ochranné funkce střevní sliznice a střevního imunitního systému. Střevní sliznice má obzvláště pevnou strukturu a, jak už název napovídá, je pokryta vrstvou hlenu, která má zabránit pronikání škodlivých zárodků.

strevni mikroflora magenta

Střevní mikroflóra: Symptomy a důsledky disbiózy

Jako disbiózu označujeme změny střevní mikroflóry, která jsou spojeny s patologickými a často zánětlivými příznaky. Příčiny této dysbiózy jsou velmi rozmanité.

K příčinám mohou mimo jiné patřit:

  • Léky (např. antibiotika)
  • Záněty
  • Přemnožení patogenních bakterií
  • Strava
  • Životní styl (káva, tabák, alkohol, sladkosti atd.)
  • Stres
  • Vzájemné působení hormonálního, nervového a imunitního systému

Narušená střevní mikrflóra se nejprve projeví příznaky, jako je říhání, plynatost, zapáchající stolice nebo křeče v břiše. Dochází zde totiž k nerovnováze zdravých a škodlivých střevních bakterií. Patogenní bakterie se mohou při odpovídajících změnách prostředí masivně množit a likvidovat zdravé střevní bakterie. To vede po krátké době k zánětům a následně k tzv. syndromu zvýšené propustnosti střev („Leaky gut“).

Syndrom zvysene propustnosti strev

Příčiny "děravého střeva"

Je velmi obtížné určit jen jednu příčinu vzniku syndromu zvýšené propustnosti střev. Často se jedná o souhru několika složek. Mezi možné příčiny patří škodlivé bakterie, parazité, plísně, léky a samozřejmě životní styl:

  • Léky

Například léky proti bolesti nebo antibiotika, mohou při dlouhodobém užívání poškodit střevní bariéru. Kortizon je dalším lékem, který může dlouhodobě poškozovat citlivou žaludeční a střevní sliznici a vést k propustnosti střev.

  • Životní styl

Stresující každodenní život nebo pravidelná konzumace alkoholu mohou také napadnout trávicí trakt. Stres hraje téměř vždy rozhodující roli u většiny nemocí. Přetrvávající stres se projevuje rozpoznatelnými změnami střevní sliznice i ve střevě. Studie také jasně prokázaly, že pravidelná konzumace alkoholu může vést k poškození střevní bariéry. Pravidelní uživatelé alkoholu mají v průměru častěji průjem než lidé, kteří žijí jako abstinenti. Alkoholová abstinence již po dobu čtrnácti dnů přináší zlepšení stavu střevní sliznice. Při určování příčiny je důležitým faktorem také strava. Nevyvážená strava nebo strava s vysokým obsahem cukru a tuku může mít negativní vliv na trávicí trakt a z dlouhodobého hlediska zvýhodňovat hyperpropustnost střeva.

  • Plísně

Naše tělo je osídleno řadou mikroorganismů, například bakteriemi a plísněmi. Ty spolu soupeří o rovnováhu a přítomnost ve střevech. Prospěšné střevní bakterie obvykle drží plísně na uzdě, ale může se stát, že tento poměr není vyvážený a plísně, například kandidy, převezmou vládu. Rod Candida albicans je jedním z nejznámějších rodů a vyskytuje se asi u 75 % zdravých lidí. Zpravidla nejsou škodlivé, ale v případě nerovnováhy hrají rozhodující roli i při syndromu zvýšené propustonosti střev.

  • Alergie

Alergie se stávají stále častějším problémem. Potraviny, kovy, toxiny z plísní, barviva a umělé potravinové přísady mohou v těle vyvolat zánětlivé reakce. K těmto zánětům dochází také tehdy, když tělo negativně reaguje na některé potraviny určitou nesnášenlivostí a v dlouhodobém horizontu vedou k poškození střevní sliznice v těle.

syndrom zvysene propustnosti strev obrazek 1024x614 1

Důsledky narušené střevní mikroflóry


V důsledku syndromu zvýšené propustnosti střev je narušena bariérová funkce střevní sliznice a dochází ke zvýšenému průniku nežádoucích látek do krevního oběhu. Jak již bylo zmíněno, mohou to být patogenní zárodky, škodlivé látky nebo dokonce větší molekuly z potravin.

Ve střevě se pak spouštějí neadekvátní a přehnané reakce imunitního systému na tyto látky a zárodky, které způsobují mimo jiné alergické reakce. Hlavně se ale objevují záněty střevní sliznice a například i potravinové intolerance.

Na základě těchto změn následně dochází k chronickým zánětlivým procesům, které mohou vést k autoimunitním onemocněním, jako je diabetes 1. typu nebo roztroušená skleróza.

Nejmodernější laboratorní analýzy, které přinesly revoluci v diagnostice, dnes jasně ukazují, do jaké míry je oslabená střevní mikroflóra příčinou celé řady poruch a onemocnění- od alergií přes chronický únavový syndromchronicky zánětlivá střevní onemocnění, jako je Crohnova choroba nebo ulcerózní kolitida, deprese až po syndrom dráždivého tračníku a rakovinu tlustého střeva.

leaky gut diagnostika

Diagnostika syndromu zvýšené propustnosti střev

Jednou z metod, jak diagnostikovat syndrom zvýšené propustnosti střev, je tzv. laktulózo / mannitolový test. Zde se pacientovi podá k vypití roztok lakulózy a manitolu a po určité inkubační době se vyšetří moč na přítomnost těchto látek. Pokud je těchto látek v moči více, jedná se pravděpodobně o poruchu střevní bariéry.

Dalším způsobem diagnostiky děravého střeva je zonulinový test. Tento test kontroluje protein zonulin, který je vylučován střevními buňkami v reakci na určité podněty a zvyšuje propustnost střevní bariéry. Vzorek séra se používá k vyšetření množství zonulinu v krvi, protože zvýšená hodnota ukazuje na syndrom zvýšené propustnosti střev.

Znak zánětu alfa-1-antitrypsin lze měřit pomocí testu na stolici. Tento protein je z velké části produkován v játrech a slouží k regulaci zánětlivých reakcí. Pokud je střevní bariéra propustnější, může alfa-1-antitrypsin proniknout do střeva a nakonec být detekován ve stolici.

Strava při syndromu zvýšené propustnosti střev


Po diagnóze syndromem zvýšené propustnosti střev se člověk obvykle nachází ve velkém šoku, ale tyto potíže je možné velmi dobře zmírnit různými terapiemi. Nejdůležitější je utlumit záněty v těle, protože při propustnosti střeva se tělo dostává do kontaktu s antigeny, například s pšenicí a kravským mlékem, které mohou vyvolat zánětlivé reakce.

Prvním krokem by měla být změna stravy. Ta hraje často rozhodující roli, co se intenzity symptomů týče, a proto ji lze snadno ovlivnit promyšleným dietním plánem. Potraviny plné rafinovaných cukrů, nezdravých tuků, konzervačních látek a barviv podporují při dlouhodobé konzumaci syndrom zvýšené propustnosti střev nebo i rozvoj dalších střevních onemocnění. Toto se projevuje trvalou, "tichou" zánětlivou aktivitou ve střevě.

Vyvážená strava v podobě zdravých tuků, vlákniny, vitamínů a minerálů zklidňuje střeva a záněty. Zejména v případě prokázané potravinové intolerance nebo alergie je třeba se vyhnout špatně snášeným potravinám.

Neustálý příjem potravy, která způsobuje neklid ve střevech, vždy vede k zánětům, které podporují onemocnění, jako je Crohnova choroba nebo ulcerózní kolitida. Strava s vysokým obsahem vlákniny, oves, žito nebo zelenina a ovoce jsou velmi prospěšné pro střevní mikroflóru a pozitivně ovlivňují činnost trávicího traktu.

leaky gut lecba

Jak léčit Leaky gut?

Kromě změny stravy existují i další způsoby terapie, které mohou pomoci zmírnit příznaky a usnadnit život s touto diagnózou. Je však důležité zvolit vhodné léky, a to pouze po konzultaci s lékařem. Dalším vhodným léčebným prostředkem jsou probiotika.

Světové zdravotnická organizace (WHO) charakterizuje probiotika jako „životaschopné mikroorganismy, které při podávání v dostatečném množství působí na zdraví hostitele“. V tomto případě je hostitel chápán jako člověk, který mikroorganismy pozře. Probiotika obsahují bakterie, které jsou přirozeně přítomny v lidském střevě, a podporují tak činnost již existujících bakterií. Při syndromu zvýšené propustnosti střev často dochází k nerovnováze mezi dobrými a špatnými bakteriemi ve střevě. Pro obnovu zdravé střevní mikroflóry je tedy důležitý přísun životaschopných probiotických střevních bakterií.

Jaké probiotikum zvolit při syndromu zvýšené propustnosti střev?

V ideálním případě je vhodná kombinace specifických probiotických bakteriálních kmenů, u nichž bylo prokázáno, že jsou schopny snížit nadměrnou propustnost střevní sliznice.

Mezi probioticky účinné bakteriální druhy při syndromu zvýšené propustnosti střev patří Bifidobacterium longumLactobacillus acidophilus, Lactobacillus plantarum, Lactococcus lactis a Streptococcus thermophiles. Dávkování a délka užívání zase ale závisí na různých aspektech: Věk, případná stávající onemocnění, strava, duševní a tělesné dysfunkce, konzumace nikotinu a alkoholu, různé terapie léky atd. Podrobné informace o tom, které probiotikum nebo jaká kombinace probiotických bakteriálních kmenů je nejlepším řešením, získáte po podrobné konzultaci s lékařem nebo v lékárně.

Relevantní články k tématu